ERA4TB – European régimen Accelerator for Tuberculosis
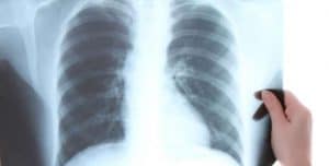
El azote de la tuberculosis – Proyecto científico EuropeoContenidos Arranca ERA4TB (European régimen Accelerator for Tuberculosis). Consorcio científico internacional para acelerar el desarrollo de tratamientos integrales contra la tuberculosis L&S.- ERA4TB (European régimen Accelerator for Tuberculosis) es el nombre de un proyecto europeo parte de uno mayor de orden mundial para conseguir nuevos tratamientos contra … Sigue leyendo ERA4TB – European régimen Accelerator for Tuberculosis
Copia y pega esta URL en tu sitio WordPress para incrustarlo
Copia y pega este código en tu sitio para incrustarlo